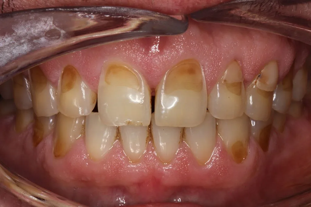
Si tus dientes están sufriendo un notable deterioro, sobre todo, las paletas, puede ser que no tengas caries, sino un deterioro del esmalte.
En Clínica Dental la Plaza quieren ofrecerte el mejor cuidado de tus dientes y para ello, han dedicado este espacio para explicarte cómo actúa el ácido de los alimentos a tu esmalte y cómo prevenir las roturas.
Hoy en día, el número de pacientes con un daño significativo en el esmalte de los dientes se ha incrementado. Entre los principales culpables se encuentran las bebidas gaseosas, bebidas energéticas, zumos de frutas ácidas, fruta y cualquier tipo de alimento ácido, además de las drogas que también pueden causar una severa erosión del esmalte.
Existen personas que tienen el esmalte de la parte superior o el de los lados perforados, y en casos más extremos, se dan individuos con erosión en completamente todos los dientes.
El daño del ácido puede ser muy grave y no solo en la erosión y rotura del diente, sino también en problemas como la sensibilidad dental. La reparación se realiza generalmente utilizando resina composit o coronas y carillas en los casos más graves.
Si alguna vez has notado que tus dientes tienen una sensación ligeramente áspera cuando se rozan entre si después de beber una Coca-Cola, por ejemplo, es porque el esmalte se ha desgastado un poco. Nunca se debe cepillar los dientes después de tomar cualquier tipo de alimento ácido o bebida, ya que esto produciría que se expandiera y restregara el contenido ácido por todos los dientes, provocando el desgaste del esmalte. Si has bebido alguna bebida ácida lo mejor es escupir hacia fuera y esperar varias horas o hasta la mañana siguiente.
Existen cuatro factores críticos que determinan la gravedad que pueden haber sufrido tus dientes por el ácido de los alimentos que ingieres cada día. Son la acidez, la frecuencia con la que tomas los alimentos ácidos, el tiempo de exposición mientras ingieres el alimento (lo mejor es utilizar una pajita y beber rápido) y el cepillado.
Para más información y tratamientos para los dientes deteriorados, no dudes en visitar Clínica Dental La Plaza en Avenida del Plà, 122, Jávea.
Contacta con Clínica.Dental.La.Plaza.
| Avenida del Plà, 122, edificio La Plaza, local 5 | |
| clinicadentallaplaza.com | |
| javeadentist | |
| info@clinicadentallaplaza.com |








