Cuida tu salud bucodental para el buen tiempo con estos tratamientos dentales clave10 de abril de 2025
Consigue la armonía perfecta y luce de sonrisa este verano con estos tratamientos integrales30 de mayo de 2024
Recupera la estética de tus encías y evita infecciones con el tratamiento de esta clínica dental18 de abril de 2023
Corrige a tiempo la respiración de tus hijos con el innovador tratamiento de esta clínica dental de Jávea24 de octubre de 2022
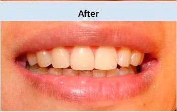
Luce una sonrisa perfecta con las carillas de composite de Clínica Dental Puchol29 de septiembre de 2021
Disfruta de tu sonrisa con Alineadent, la mejor ortodoncia invisible en Clínica Dental Puchol21 de junio de 2019
Luce una sonrisa perfecta gracias a los tratamientos de odontología estética de Odontología Dalia07 de noviembre de 2018
“No hay edad para realizarse un tratamiento de ortodoncia”, por la Dra. Miranda de Odontología Dalia26 de septiembre de 2018
Prueba el tratamiento rejuvenecedor de última generación Aquashine en Clínica Dental Puchol12 de septiembre de 2018
Rejuvenece tu sonrisa con ‘composite bonding’, en Clínica Dental La Plaza, Jávea13 de octubre de 2016
Clínica Dental la Plaza te aconseja sobre cómo prevenir el deterioro de tus dientes18 de agosto de 2016
Luce una sonrisa perfecta gracias a la ortodoncia digitalizada de Clínica Dental Puchol19 de mayo de 2016