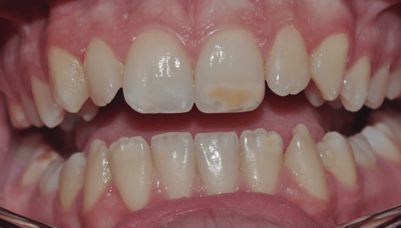
Se manifiesta con manchas opacas blancas, amarillas o marrones
09 de enero de 2025 - 16:04Se manifiesta con manchas opacas blancas, amarillas o marrones 1 de 3Foto SiguienteVer el artículo original: Hipomineralización incisivo-molar (MIH): qué es, cómo afecta y su tratamiento Hipomineralización incisivo-molar (MIH) qué es, cómo afecta y su tratamiento El tratamiento puede dividirse en medidas preventivas y restaurativas Tratar la Hipomineralización incisivo-molar (MIH) es crucial para mejorar la salud bucodental