Tratar la Hipomineralización incisivo-molar (MIH) es crucial para mejorar la salud bucodental
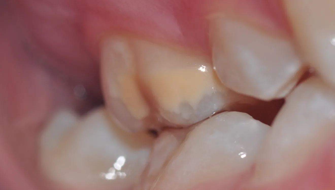
09 de enero de 2025 - 16:10Tratar la Hipomineralización incisivo-molar (MIH) es crucial para mejorar la salud bucodental Foto Anterior2 de 3Foto SiguienteVer el artículo original: Hipomineralización incisivo-molar (MIH): qué es, cómo afecta y su tratamiento Hipomineralización incisivo-molar (MIH) qué es, cómo afecta y su tratamiento El tratamiento puede dividirse en medidas preventivas y restaurativas Tratar la Hipomineralización incisivo-molar (MIH) es crucial para mejorar la salud bucodental